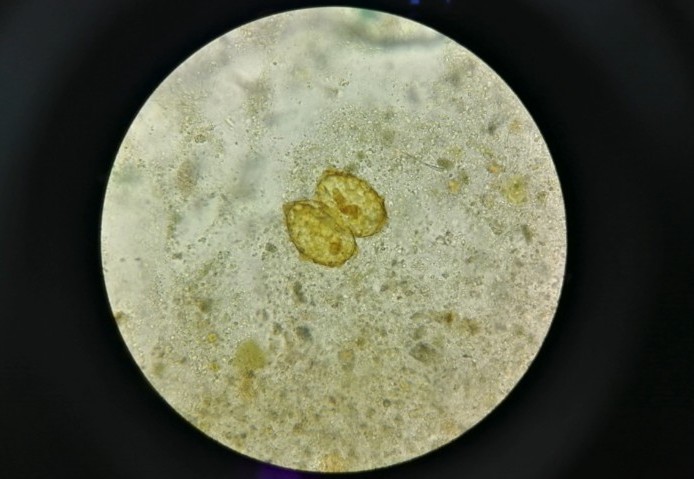
If you’ve been struggling with digestive issues or unexplained symptoms, one overlooked culprit could be Blastocystis hominis (B. hominis). Understanding this gut parasite—why some people get sick and others don’t, and how to treat it—might be the piece of the puzzle you’ve been missing.
You can’t find what you aren’t looking for. With modern PCR stool panels, testing for B. hominis is now more common.
When B. hominis causes problems, the symptoms can be wide-ranging:
The strain you have plays a key role in whether these symptoms occur.
Treatment can be challenging and sometimes controversial, because many doctors believe it doesn’t always need treatment.

For those preferring natural approaches, protocols often include:
Herbal approaches can be very effective and also support the gut microbiome.
Treating B. hominis isn’t just about eliminating the parasite. It’s about restoring gut health:
A healthy gut environment improves symptoms significantly, even when the parasite is present.
B. hominis is common but often overlooked, and not all strains cause illness. However, if you have persistent GI symptoms or unexplained fatigue, brain fog, or skin issues, it’s worth testing and addressing.
With the right medications, herbal therapies, and gut support, B. hominis is manageable, and patients often see substantial improvements.
If standard treatments haven’t worked, or your gut symptoms don’t have an obvious explanation, don’t ignore this parasite—it could be the missing piece.
How Many Antibiotics Does it Take to Mess Up Your Microbiome?
IBS and Spicy Food, The Sign That Something Bigger Is Wrong
Seattle: 206-264-1111
Los Angeles: 310-319-1500
Our WhatsApp: 206-791-2660
Copyright © 2024 IBS TREATMENT CENTER. All Rights Reserved
Lorem ipsum dolor sit amet, consectetur adipiscing elit. Suspendisse varius enim in eros elementum tristique. Duis cursus, mi quis viverra ornare, eros dolor interdum nulla, ut commodo diam libero vitae erat. Aenean faucibus nibh et justo cursus id rutrum lorem imperdiet. Nunc ut sem vitae risus tristique posuere.